二十多年前,一首脍炙人口的歌曲,这样唱道,“阿美阿美你快点办嫁妆,我急得快发狂”,歌曲的最后,承诺把阿美养的白白又胖胖,那时候把老婆养胖可不是件容易的事。不经意间,梦想成真。据WHO的最新估计,世界上体重超标的人口数量,即将追上挨饥受饿的人口总数,看来朱门酒肉臭,路有冻死骨的悲惨历史,即将离人类远去了。作为人口大国,毫无疑问,我们对此作出了巨大贡献。然而,媒体和专家们却纷纷为之惊呼而不是祝福,有关健康的各种警告。从心血管到癌症,最近又新增了心理疾病——抑郁。于是,我们旋即陷入减肥药物,和各种神奇减肥产品的广告包围之中,它们在大街的橱窗里,在午夜的电视、收音机频道中,在一切你能想到的地方。这样的时候,你不得不承认萧伯纳说的有道理,人生悲剧无外乎两种,一是你没得到想要的,另一种是你得到了。
我们究竟有多胖?
关于我们有多胖的奇闻轶事很多,美国、墨西哥都有体重超过半吨的人。而各种耸人听闻的数据在漫天飞舞,比如十亿人民两亿胖,但只有权威数据才值得信赖。2006年9月,国家体育总局发布,第二次中国国民体质监测公告,其中提到,我国成年男子的胖率为9.3%,如果只算城市的话,则上升到10.8%。不出所料,最容易胖的人是中年男子,40~44岁,达到11.7%。数据还暗示,44岁还不胖的话,此生你就几乎与胖绝缘了。然而,这个耗时一年,调查了数十万人,迄今最权威的报告,却拒绝提供我国成年女性的肥胖数据,莫非这是国家机密? 看来,普通人很难知道,我们究竟有多胖了。不过,俗话说得好,非洲饿死人比不上自己的牙疼,我们知道自己的胖瘦就好,不妨让我们按图索骥(见图1)。
虽然,一般认为BMI超过24就算超重,换句话说你的体重已经迈进危险区域。但从一般而言的正常,到足以称为病态肥胖的体重之间,存在极大的灰色地带。究竟多胖才算病态,并非轻易就能下结论。的确,没有人会真的认为体重无限制的升高,不会给生活带来麻烦。事实上,恐怕每个人都同意超半吨的体重,决非寻常。然而,迄今为止,尚无既安全又普遍有效的方法能做到,使我们长期减轻哪怕5%的体重。在你准备为了健康,抛弃脂肪之前,或者为了保持体重,忍饥挨饿的时候,也许该先问一句。
我们因何而胖?
这个问题如果只从数学的角度来看,真是非常简单。然而麻烦在于,我们是生物,是鲜活的生命,而不是真的酒囊饭袋。第一个试图回答这个问题的人,是五十多年前,洛克菲勒大学的Jules Hirsch 教授。他为肥胖着迷,而且他竟然想办法得到了资助。成年人体重的增加,主要来自于储脂增多。
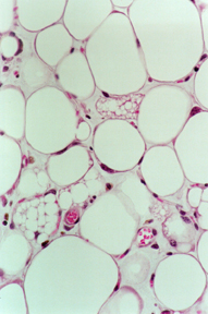
虽然今天脂肪的名声不佳,过多的脂肪不仅让我们行动不便,而且血液中过高的血脂,很可能是诱发高血压和心脏病的主要因素。不过,脂肪实际上对我们也极其重要,它的功能众多几乎不可能一一列举。要知道,正是脂肪这样的物质在一片水海中化分出界限,使细胞有了存在的基础,依赖于脂类物质构成的细胞膜,将细胞与它周围的环境分隔开。使生命得以从原始的浓汤中脱颖而出,获得了向更加复杂的形式演化的可能。因此毫不夸张地说,没有脂肪这样的物质存在,就没有生命可言。法国人谢弗勒首先发现,脂肪是由脂肪酸和甘油结合而成。脂肪因此可以看作机体储存脂肪酸的一种形式,从营养学的角度看,某些脂肪酸对我们的大脑、免疫系统乃至生殖系统的正常运作来说十分重要,但它们都是人体自身不能合成的,我们必须在膳食中提供,现在的研究还认为,大量摄入这些被称为多不饱和脂肪酸的分子,有助于健康和长寿。另外由于脂肪不溶于水,这就允许细胞在储备脂肪的时候,不需同时储存大量的水,并且相同重量的脂肪比糖分解时释放的能量多得多。这就意味着,储存脂肪比储存糖划算得多。如果在保持总储能不变的情况下,将我们的脂肪换成糖,那么体重很可能至少会翻番,这取决于你的肥胖程度。我们的脊椎动物祖先,显然看中了脂肪,作为超高能燃料的巨大好处,为此进化出了独特的脂肪细胞,以及由此而来的脂肪组织,埋下了今日我们肥胖的祸根。
脂肪细胞几乎全由脂肪组成,将它看作脂肪仓库可能更加合适。Hirsch找到了估算体内仓库总数的方法。由此他发现,肥胖症患者的仓库数量,是普通人的十倍,达到两千五百亿之多,并且体积也要大四倍。而人在不同时期,储存脂肪的方式也有所不同,年少时,我们优先增加仓库数量,成年后,则先把仓库装满。如果有较多的仓库,显然就很难保持苗条。而吸脂手术后体重的迅速反弹,似乎暗示,我们的身体能记住仓库的数量。早在1953年,Kenndy就提出体重调定点假说。他认为如同体温一样——寒冷时颤抖,太阳下流汗,是为了维持住恒定的体温——当身体发觉体重低于预定值时,就可能通过升高食欲,使你厌倦运动等手段,促使体重尽快恢复。
与此同时,Hirsch 教授革新了,测定人体每日基础能量消耗的方法。基础能量消耗,是维持生存必需的开销,对于缺乏锻炼的人而言,这个消耗可就在总花费中占了大半。即便你每日进口的食物总量不变,只须基础消耗长期轻微升高或者降低一点,你的体重就可能发生惊人的变化。而Hirsch的新方法,给体重调定点假说提供了支持。他发现体重相同的人,每日的基础能量消耗可以大不一样。其中,通过减肥降低了体重的人,能量消耗最低,反之一时不慎长胖的人,消耗最高。看来,身体总是希望回到它自己的平衡点。当然体重恒定点与体温不一样,它的高低受许多因素的影响,如家族背景、儿童时期的营养状况、体育锻炼、年龄等等。毫无疑问,对一些人而言,这个体重的恒定点是偏高了。今天我们有既廉价又安全的退烧药,但目前我们根本没有,即有效又安全的方法去调节体重的恒定点。在这样的状况下,试图对抗我们历经数百万年,残酷考炼才煅造而成的躯体,其难度不想而知。
但身体如何得知体重变化的情况?答案出人意料之外,但却在情理之中。我们的仓库会向大脑通报储脂情况,如果储存过多,它们会大量释放一种称为瘦素的激素,知会大脑节制食欲,或许还会激发你运动的兴趣,反之它们则默不作声。1994年,Friedman和自复旦大学毕业的张一影合作,从遗传性肥胖的老鼠中,找到了制造这个激素的基因,并证实了它的功能。一时间舆论为之沸腾,Amgen公司迅即以两千万美金的代价,获得该基因的专利。然而,奇迹没有发生。的确,这世上有人正是因为丧失了制造瘦素的能力,而陷入病态肥胖之中,但这样的人实在太少,到目前为止仅发现十余例。

左 丧失合成瘦素能力的胖小鼠与正常小鼠联体后,体重迅速下降到正常
然而人类的肥胖原因并非如此!据最新研究显示,体重似乎还和肠胃中的细菌有关。2004年,戈登发现体内无菌的实验鼠,虽然食量比它的孪生同胞大29%,但体脂却少了42%之多,同时其基础代谢率还低27%。当把这些可怜的苗条鼠,从无菌环境中放回正常环境后,它们的体重在两星期的时间里,恢复到和同胞一致,食量也随之减少。这个实验可算是体重恒定点的最新证据,另外,它也证实了我们长期以来的猜测,肠胃中的细菌能促进食物的消化吸收。那么,是否胖瘦的原因之一也和我们所拥有的细菌不同有关系呢?
戈登实验小组再接再厉,2006年末,他们在英国《自然》杂志上连续发表了两篇论文。实验显示,如果给处于无菌环境中的苗条鼠,分别提供,丧失合成瘦素能力的胖鼠或普通鼠的肠胃中的细菌,那么在两星期内,苗条鼠的体脂分别增长了47%或27%。注意这里有一个数学上的小陷阱,虽然47%大于42%,但接受胖鼠细菌后,苗条鼠的体脂并未超过普通鼠。这就如同股价100元的股票,今天下跌42%,明天又上涨47%,但股价可只回升到85.26元。虽然如此,实验的确说明细菌不同,恢复体重的速率大有差别。肠胃中细菌种类很多,目前的焦点暂时锁定在拟杆菌上。因为普通志愿者比肥胖志愿者的拟杆菌多10倍(注意:数据仅来自,12名肥胖志愿者),这和胖鼠与普通鼠的差别相似。坚持减肥饮食一年后,肥胖志愿者的体重普遍有所下降,体内拟杆菌也从3%增加到15%,硬壁菌的比例则从90%降到73%。
莫非这才是芝麻开门的咒语?但对拟杆菌的进一步研究却让人迷惑,这是一种拥有非凡消化能力的细菌,能够把多种我们自己无法消化的食物,转变为可以吸收利用的形式。这也罢了,更过分的是,它还能抑制一种促进脂肪消耗的蛋白质,从而间接帮助身体积蓄脂肪。看来无论是否喜欢,我们还得继续在漫漫肥胖路上跋涉一阵子了。
虽然各国,尤其是西方国家,在探索我们为何而胖的问题上,投入了许多。但目前的研究,一再告诉我们的是,体重的变动很可能,没有一个普遍性的原因。或许,那些单因素所致的体重异常,都已经被我们发现了。比如:瘦素缺乏,或者由于肾上腺分泌了过多的糖皮质激素,以及甲亢所致的异常消瘦——这是由于基础代谢率显著升高所致,导致患者起初食欲旺盛精力充沛,最终心脏不堪重负而罢工。
要透彻的理解,我们为何如此之胖,也许必须求助于进化论,了解我们祖先的生活方式。我们那些酷爱甜食的基因,早在祖先们还呆在树上的时候就已经进化出来。而非洲草原上,雨季和旱季交替分明的气候,在雨季尽快长胖,攸关生死,不可大意,因为那是成功渡过,食物短缺旱季的最佳方案。所有这些,曾经帮助祖宗们生存下来的基因,在如今这个高热量食品充斥的时代,成为长胖最本质的根源。也许一开始,我们就问错了问题,也许真正奇怪的是,这个时代为何还有这么多的瘦子。
(一)胖瘦快速一览
BMI公式: 体重(kg)/(身高*身高) (米)
BMI<18.5 瘦 18.5=28 胖
仅供参考
(二)体重 vs 健康
多年来认为肥胖会显著增加你患高血压、心脏病、糖尿病、中风、某些癌症和莫明死亡的风险。然而,近年来所作的一些更精密的统计调查显示,也许我们过度渲染了肥胖和这些疾病的关联。2005年,美国疾病控制中心(CDC)的资深科学家Flegal,发现体重过轻(BMI<18.5)比Ⅰ性肥胖(30
(三)体重 vs 性&生育
在追求性福生活逐渐成为共识的同时,肥胖会降低性能力以及妨碍妇女怀孕的论调,也开始在网络上四处可见。更有趣的是,几年前还在忧心仲仲担心,肥胖儿童性早熟带来社会问题的舆论,现在开始操心这些少年性发育延迟的问题了,睾丸、阴茎、子宫大小的统计数据也奇迹般的发生了颠倒,总之人类的复杂性总能让你找到需要的证据。相伴而来的则是减肥市场的日益火爆,至于结果统计资料已经显示得非常清楚。还是让我们看一些严肃的研究吧,血液中睾酮的水平大致可代表男人的雄风,只要你胖得匀称,国内外的研究均显示它的高低与BMI关系不大,而与腹部脂肪的多少关系密切。睾酮可抑制腹部脂肪的积累,中年男性性能力的下降,随之而来的就是将军肚,这可真是双重悲剧。对青年人而言,吸烟、酗酒和沮丧均可有效降低睾酮水平,这些因素远甚于肥胖对性能力的影响。
骨感美女怀孕困难,而且易发生性冷淡,早已是医学上的定论了。如今舆论的威力,把古老的“丰满的妇女多产”人生智慧也给颠覆了。今年2月,Gesink Law在《人类生殖》上发表论文, 对7327个尝试怀孕的妇女所做的追踪研究显示,的确肥胖的妇女怀孕率较低,但原因并不在身体上,而是心理上。由于自我评价降低,她们的性生活不够多!当舆论说肥胖容易致人抑郁的时候,它正是胖子抑郁的根源。
(四)体重 vs 冷暖
寒冷的冬季,似乎是体重迅速增加的催化剂。多年来脂肪,尤其是皮下脂肪,的功能被认为,主要是防止体内热量散失。的确,当我们运动起来的时候,热量从骨骼肌散发的速度,比从脂肪组织中快一倍,这也是为何较胖的人,不那么喜欢运动的缘由之一。据此,人们猜测胖子多半怕热不怕冷。当然,你肯定找得到这样的胖子,不过,要找到同样的瘦子也不难。其实,在寒冷中保持体温,主要依靠的是体表血管的收缩,以及更快的燃烧葡萄糖、脂肪等。因此,胖本身不足以帮助你抵御寒冷,这一点通过研究生活在寒冷极地的爱斯基摩人也得到了旁证,他们并不比我们更胖。至于,冬天体重的增加,主要是为了帮助你,熬过食物匮乏的冬季。虽然,今天生活在城市中的人们,冬天似乎吃得更多更好,但遗憾的是,我们的身体似乎并不知道。
(五)今天你胖了吗
人倒霉的时候喝凉水都要塞牙,这样的谚语,也许很快就会变成,喝凉水都会长胖。不过,喝水都长胖的只能叫水肿,需要去挂肾病专科。但的确有人,在正常膳食的情况下,体重却较高。他们多半是受到上天祝福的人,天生的基础代谢率较低。人们愿意相信不吃早饭、生活不规律、睡得太多等等是长胖的帮凶,但事实很可能是这样的,只要你胖了就是你的错,一定是你做了什么或者没做什么。而另一方面,人们压根不在乎,体重正常的人是不是按时吃早饭了,仿佛他们都像乖宝宝那样生活,那可是多达至少80%的人群啊。一句话,在我看来,谁要把这些所谓的帮凶全列出来,并将它们从生活中全部排除,那他离圣人的距离也就不远了。在没有圣人的时代,为什么你还没有胖呢?
(本文转载自健康中国人网)