20多年前,我曾经在当时的报纸上呼吁“40岁 请做一次胃镜吧”。可每当我建议朋友去做胃镜时,几乎都异口同声地说:“太痛苦”、“可怕”、“难受”等予以推却或拒绝。为此,我自己只有“以身试镜”,40岁时我就做了个胃镜检查,根据检查的病理切片,发现10年内可以无忧。到了50岁,我就做了第二次胃镜,病理切片结果出炉,又放心10年。这2次胃镜检查中虽然有些“难受”(咽喉部不适而想呕吐、胃部有疼痛感)但坚持一下就可以过去了。当然,每个人的“敏感程度”不一样,我能够接受不一定大伙都可以。
又安心度过了10年,60岁时我做了第三次胃镜。这次胃镜不仅没有“难受”,而且简直就是一次“享受”。为什么?主要是现在可以施行“无痛胃镜”,也就是在“浅麻醉”状态下,还在我“熟睡”中被叫醒时,没有任何感觉检查就结束了,这样的浅麻醉状态下的“熟睡”醒来后是那么的轻松与舒适,真可以算得上是一次“享受”了。
当然,每个人对于从嘴巴(或者鼻孔)插入一根管子的耐受是不同的,有人是无论如何不能接受的。没关系,现在已经有了“胶囊胃镜”,也就是说不用插个管子进入胃内,而是如同吞咽一粒药那样,把无线的摄像头吞进胃内,通过无线信号就可以看到胃内情况,作为初步观察也是可行的。不过,其缺陷是还不能取粘膜组织送病理检查。
现在,胃镜检查不仅仅是感觉轻松,更主要的是胃镜检查设备的革新和升级,在原本的电子胃镜基础上开展了NBI技术(Narrow Band Imaging,NBI,窄带成像)以及放大染色技术等,医生观察到的胃粘膜是那么的清晰明了,微小至1-2毫米的病灶也逃不出新技术的“火眼金睛”,使得极为隐蔽的毛病,尤其是极早的胃癌都能发现,这才是新一代胃镜的最大价值所在。可以预测,随着胃镜新技术的普及,早期的胃癌都可以发现,也就都可以治愈,胃癌就成为可治愈的癌症之一。发现一例早癌,挽救一个生命,幸福一个家庭,安宁一片天空。
这样的事儿,难道不值得尝试一下吗?

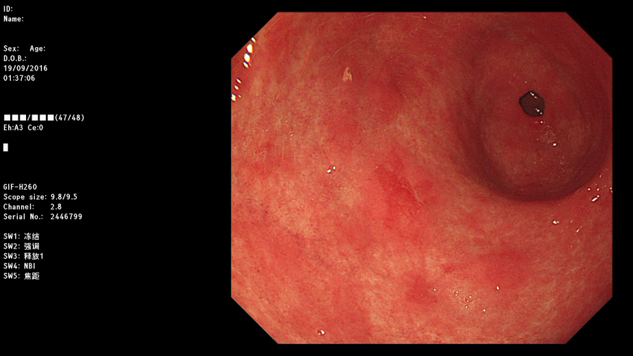
常规的胃镜所见(只是看到粘膜有些发红的斑片)

新技术胃镜所见 (有病变处显示清楚的深颜色斑片)

再放大后的观察
纪小龙,著名病理学家,从医40余年。原解放军总医院、武警总医院教授与主任医师。