我是一名病理医生,在综合性医院工作,所谓“综合性医院”就是指从头到脚什么科都有的医院。病理医生的工作就是检查从病人身上取下来的任何标本(人的肉),弄清楚是正常的还是不正常的,如果不正常是发炎还是肿瘤,如果是肿瘤,是良性还是恶性等等问题,所以,我每天就是检查人身上从头到脚各处手术切下来的标本。
在当医生三十多年来的工作中发现,九十年代以前,每个礼拜会遇到五六个、七八个手术切下来的子宫标本,一般不超过十个,用一个塑料盆就能装下了。而近10年来,切下来的子宫一年比一年多,现在一个礼拜都在几十个,要几个塑料桶才能装下。因为这些标本医院规定要保留一个月才能扔掉,所以经常要为找塑料桶装标本而发愁,还要为找房间放这些标本而犯难。
难道中国妇女就这十几年来子宫疾病增加的这么多了吗?难道这些子宫就该切除吗?回答是“no”。因素固然多种,其中主要的一个是夸大了“宫颈糜烂”!看着那么多好端端的子宫被开刀切下来,真为这些妇女感到惋惜。
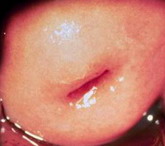
子宫的下端叫“宫颈”,中央开口处叫“宫颈管”。看上去就如同口唇那样,宫颈的颜色同皮肤(粉红),中央的宫颈管同唇红(鲜红)。(见图1、图2)如果鲜红的圈扩大了,就叫做“宫颈糜烂”。鲜红圈的大小是有女性体内的女性激素水平的高低决定的。激素越高,鲜红圈越大。也就是说,只要女性身体正常,都出现“宫颈糜烂”!反之,如果正常发育女性,没有“宫颈糜烂”,倒是有毛病的了。

图1 所谓正常的宫颈

图2 “糜烂”的宫颈
医学上还发现在刚出生的新生女婴中约有1/3的宫颈有“宫颈糜烂”。刚出生的女婴在子宫内哪里有宫颈伤害呢?这时的“宫颈糜烂”原来是由于母体在怀孕时身体内的女性激素水平增高而影响到了婴儿的幼小的子宫颈所致!出生后离开了母体,新生女婴的这种糜烂也就自行消退了。
呜呼,可怜中国女生的子宫!
《再说说宫颈的事情》
贴出《宫颈糜烂不是病 手术切除实不该》一文后,还是不断看到大量的过度治疗的病例。问她们为什么?回答主要是不放心,害怕长癌!
好吧,再说几句关于宫颈长癌的事情吧:
宫颈癌主要是HPV(人乳头状瘤病毒)感染后慢慢发展而来。这儿需要强调几个关键点:
1. 首先要知道自己有没有HPV感染。不能一家医院说有就肯定,至少要2家以上都检查有才能定。
2. 要弄清HPV感染多久了。基本的时间划分是:1年内可以自己好的;2-5年的持续感染可以出现低级别CIN (宫颈上皮内瘤变),此时治疗是可以好的;5-10年的持续感染可以发展成高级别CIN,此时治疗是容易的,也是可以治好的;10年以上持续感染则可以发展成宫颈癌浸润,这时再治疗就来不及了。
由此可见,第一步要明确有无 HPV 感染。第二步要明确感染了多久。第三步要明确宫颈病变到了哪一个阶段。这样,该如何对待,如何治疗,结果会怎么样,不就一目了然了吗?千万不要一听说宫颈糜烂就惊慌失措,无所适从,倒霉的还是你自己。哎,真不可思议,那么多女士不明白如此简单的事情!
纪小龙,著名病理学家,从医40余年。原解放军总医院、武警总医院教授与主任医师。