你可曾想过生命到来之前,在哪里停留过?
你可曾知晓我们在母体里逗留的“地点”是否依然安好?
人类的本能与天职就是要完成繁衍后代的重任。虽然这样的有关人类生死存亡的大事得靠男女两方亲密无间的天衣无缝的默契下共同实现,但执行主要任务的是女性生殖器官,由子宫(包括宫颈)、输卵管、卵巢3个主要部件有机配合来实现(图1)。

图1 女性生殖器官的组成与位置
胎儿的宫殿——子宫
不管是儿子,还是女儿,都给予最温暖的宫殿,这是母亲最真实的爱。
坐落部位: 小肚子(最下腹)里面,膀胱后面,直肠前面。这么说可能每一个女士都要自己比划一下,看看自己的子宫在什么地方:肚脐和骶骨连一条直线,在那个垂线的中间肚皮里面就是“宫殿”正常的位置(图2)。

图2 子宫阴道与前后器官的相邻关系
大小就跟你的拳头差不多。个儿大的人拳头也大,子宫个儿也大一点。个儿小的人子宫也小一点,所以它不会是都一样大小的。这是指没有病的时候。随着老年人的萎缩,停经以后它会越来越小的,会变得从拳头缩小到甚至一半,也就是半个拳头那么小。相当于一个小鸡蛋那么大。就在女性怀孕快要生产的那个阶段,是最大的时候。
内部设施:子宫可大可小,为什么呢?和建造材料有关。是个奇妙的组织——肌肉有弹性,可变性能很强。就像橡皮筋一样可以拉得很长,也可以缩回来,所以这就是子宫的特点。
细致来看——内膜专门给受精卵铺床垫,最里面软软的一层就是内膜,内膜下面就叫平滑肌,肌层外面一层是外膜,外膜包裹着里面两层,子宫就分这么三层。
床铺功能:每个月为了迎接受精卵的到来,内膜都要积极准备,铺设舒软的床垫,子宫内膜长得厚厚的,受精卵就跑到子宫里面,躺在舒服的床垫伤,受精卵一下子就扎在子宫内膜里面,又松又软,美美地开始发育了。
我们身体的奇妙的或者奥妙还是有待发掘的,为什么这么说呢?宫殿,也不只是繁育后代的一个温床,实际上子宫还有一些其他的有待于开发的功能。好比说子宫里面就可以调剂血液,尤其是怀孕以后,那个胎盘在子宫里面,跟子宫之间相互的关系,又是一个未知数。举个最简单例子,现在不是好多用脐带血去做干细胞的移植,胎盘里面,人们还没有发觉的一些物质很多。
结构失衡——弹性的墙壁猛凸起
我们说成年妇女50%都有子宫肌瘤,所以大家首先不用听说有子宫肌瘤了,就特别紧张。刚才说了子宫可大可小,它在变化中。实际上每个月它的大小也不一样。大家想月经完了以后,血流出来以后这时候子宫是最小的。
每个月要排血液。子宫壁,也随之增大或减小。那个肌肉它也在大一点,小一点。我们叫增生回缩。在增生的时候,都增生了,都很高兴。命令撤退的时候,就就很不愿意回去的,一些子宫的平滑肌增生以后没有回到原来小的状态,开始几个细胞你看不见,如果一堆细胞没回去,这些不听话的就集结出来一团啦。
实际上,子宫肌瘤就是子宫壁上的一团不听话的平滑肌,没有在该回缩的时候撤退造成的。所以说子宫肌瘤并不像好多女性认为得那么可怕。在显微镜下一看就是一堆平滑肌细胞。
如果要说在育龄的朋友长了子宫肌瘤,影响她怀孕,这时候是不是需要治疗呢?要看子宫肌瘤的大小、位置以及数目。如果肌瘤个头大,或者脱到子宫腔里面,又是好多个,跟胎儿抢地盘了,那就要影响胎儿的生长发育。如果瘤子是只有一两个,而且靠子宫壁外面,一点不影响。如果,又在子宫腔里占着位置,就得该处理了。
有一点需要提醒大家,子宫肌瘤是可以长大的。有症状,有感觉,有出血,再一个就是不停地长大,这几个状况是需要处理的。如果没有这三个前提,你可以不管它(图3)。

图3 子宫肌瘤的不同位置与名称
防御的关口——宫颈
和子宫紧密相连的下面的部分。宫颈也被叫作纳囊。宫颈也是子宫的一部分,在宫殿里完成了子宫内的历程,要走人世间了,要出口了,宫颈是必经的大门口。
子宫里面是无菌的,是干净的,是温暖的,是发育胎儿的最适宜的、最佳条件,而阴道跟外成是相通的,所以宫颈这个宫口设计的非常绝妙,是一个关口,使得外界的任何致病的物质不能进到子宫去,使子宫里面永远保持着最佳的环境。不过,在挡住的过程当中实际上就等于病毒和细菌在它那儿储藏一段时间,它就成了一个积攒的集散地,也会比别的地方污染更严重。
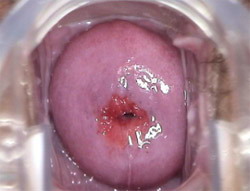
正常年轻的妇女子宫颈的开口是红颜色的,在中间是一片红的(图4),老年红的就褪回去了,就看不见了,就像皮肤颜色了,是灰黄色的。

图4 宫颈开口处的“鲜红”色是正常表现
红色的不一定亮红灯
什么叫宫颈糜烂呢?就是你看宫颈的时候里面是红的。
一般人看到以后是红的,觉得这是不是有问题啊?
正常宫颈,生育期妇女的宫颈口周围是红的,而且红是随着你激素水平的高低,大小范围是不一样的,如果你女性的激素水平低这个红的范围就小,激素水平高,红的范围就大,直径,这个圈就大,所以如果你从这个角度看,应该红的圈的范围越大,激素水平越高,越女性化,是好事不是坏事(图5)。
如果你是一个生理性的宫颈糜烂,叫糜烂实际上不是糜烂,生理性子宫管口的黏膜扩张的范围变大这是正常的,不需要治疗的。
非生理就叫病理了,有病的糜烂,好比说炎症,宫颈炎,宫颈的一些病毒、细菌的感染都可以表现出发红,光看到发红你不能说这是有病,多数人,甚至在人群里面90%以上宫颈的红的是生理性的,它就有红的,就是生育期妇女。真正有病的,由发炎引起的红的10%都不到。

图5 宫颈口的大片鲜红色是女性成熟的标志
发布命令的指挥员——卵巢
成年女性每个月来一次月经,谁叫月经来和不来,来的量多和少,时间长短,谁管它呢?就是卵巢。
人有两个卵巢。一边一个,就在子宫的两边,扁扁的,卵圆形的,类似蚕豆。两个卵巢是互相交换着干活——排卵。这样保证间歇期的歇息,卵子可以充分地成熟。
蚕豆皮一破,卵子就能出来。如果蚕豆皮特别坚硬,像一个盔甲一样,一个很厚的、坚固的一个膜,卵成熟后,却不能破膜而出,就在膜里面形成一个小囊,越来越多,卵巢表面就成了好多小泡泡,这个病就叫多囊卵巢。多囊卵巢,是先天性的疾病,是卵巢外面这层皮太坚固的缘故。
女性的月经生理周期是28天,会提前或者错后,全是靠卵巢指挥的,指挥员它习惯叫你28天就28天,它叫你20天就20天,它叫你30多天就30多天。正常情况下指挥员是比较守规矩的,如果时间乱了,就不是正常的规律就应该考虑是不是有问题。是卵巢的问题,指挥出问题了。卵巢控制子宫怎么控制的知道吗?不是打电话,也不是跑个马送个信,它是通过激素,分泌雌激素,雌激素专门让子宫内膜开始长厚。还有一种叫孕激素,孕激素干什么?如果说雌激素让内膜长出草,孕激素就是叫它开花,结果,满枝头,这样是万紫千红的子宫内膜。
卵巢分泌指挥子宫,就是通过雌激素和孕激素这两种配合起来完成的。
青春的旺盛阶段,二十岁左右,卵巢里面细胞也是最活跃的时候,到三十多岁,卵巢高峰就过去了。对女性来说,直到四十多岁,卵子也不蹦出来了,慢慢的就停经了,这时候女性激素分泌也跟着减少。到了六十五岁以后,卵巢分泌的女性激素微乎其微了。所以卵巢伴随着女性的一生,就是这么一个从低谷到最高峰,逐渐又回到低潮的过程。
指挥员爱得什么病?
卵巢最常见的疾病就是卵巢囊肿,不是前面提到的多囊卵巢。分滤泡囊肿和巧克力囊肿。每个月蹦出一个卵子,卵子蹦出去了,它的窝还在,所以里面就有越积越多的水我们叫滤泡囊肿。囊肿的特点是里面一般都是液体,而且是清亮的,稍微有一点点蛋白质在里面。而且外面的那一层包水的皮是薄薄的,就像吹起的气球那么薄。所以大家现在进到医院里面检查一般用手摸不到卵巢,但是用B超,超声波就知道,正常卵巢多大,形状怎么样,有没有囊肿(图6)。
如果发现囊肿了不用担心,最简单的方法就是,过两个月三个月再去复查一下,看看囊肿是大了还是小了,因为它是一个良性的、单纯性的,不会发生什么别的问题。有的囊肿自己可以破裂然后就消失了,有的囊肿会越长越大。
第二种是巧克力囊肿。由于子宫内膜异位,跑到了卵巢,形成了好多血块,这个血块吸收了,有水,又有血。所以如果这时候你要打开来看的话就像巧克力一样这种深棕色的,名字叫巧克力囊肿。
巧克力囊肿我怎么听起来很严重,这是不是应该赶快去治疗呢?
这种病会有痛经!如果你痛经能忍受,那你也可以不治疗,因为它随着你岁数的增大,高峰以后它就会慢慢地减轻。如果你痛得都受不了,每个月都痛得出血,就得把它切掉。有一些准备要小孩的女性朋友您要出现这种情况还是抓紧治疗,而对于那些可能已经育有子女的朋友来说,这个问题就不是那么特别严重了。

图6 卵巢肿瘤与正常卵巢比较
繁衍的花伞——输卵管
输卵管为一对细长而弯曲的管,各位于子宫两侧,内侧与子宫角相连通,外端游离着,想一个花伞,与卵巢接近,全长为8-15cm。这把伞等待着每月准备收获卵子。
在生命没有成形之前,卵子姑娘要被输卵管的花伞捕获,进入悠悠荡荡的管道,就在输卵管的一个叫“壶腹部”的地方,姑娘会邂逅他生命的另一半,然后幸福地结合,形成受精卵,前往美丽的宫殿——子宫,开始生命的孕育之旅(图7)。

图7 精子与卵子结合后再移师子宫腔内着床
如此精妙的天衣无缝的配合行动,才使得人类得以生生不息,兴旺繁茂。但以女性伟大早不足以表述到位。作为女性自己,爱护自己的每个部件,意义也就不言而喻了。
纪小龙,著名病理学家,从医40余年。原解放军总医院、武警总医院教授与主任医师。